Карантин нужно соблюдать
25.03.2010 09:06:49
Президент Украины Виктор Ющенко обратился в генеральную прокуратуру с просьбой возбудить уголовное дело по факту митинга, проведенного в Киеве в период эпидемии гриппа. По мнению главы государства, началом эпидемии можно считать 20 октября - тогда в Тернополе были на карантин закрыты школы. Однако 24 октября Блок Юлии Тимошенко организовал на площади Независимости в Киеве митинг в поддержку своего лидера на президентских выборах. На акцию были свезены тысячи людей из разных областей с...
Работа регистратур в поликлиниках становится лучше
25.03.2010 08:04:58
Большинство посетителей поликлиник довольно работой регистратур. Это подтверждают результаты акции, объявленной департаментом здравоохранения Тюменской области и Тюменским отделением Российского Фонда «Милосердие и здоровье» «Регистратура — территория повышенного внимания». Пациенты областных ЛПУ по-прежнему положительно реагируют на призыв оценить работу регистратур и регистраторов. Количество анкет, заполненных в рамках акции, уже исчисляется т...
В Урае введен недельный карантин
25.03.2010 07:04:15
В урайских школах и учреждениях дополнительного образования детей введен карантин.  Как сообщает пресс-служба администрации Урая, в связи с ростом заболеваний ОРВИ, отменены культурно-массовые мероприятия в закрытых помещения, в учреждениях торговли и общественного питания введен масочный режим.  В усиленном режиме работают учреждения здравоохранения. И взрослый, и детский стационар переориентированы на прием больных с признаками ОРЗ.  Из средств городского бюджета выд...
Заболеваемость туберкулезом в Тюменской области снижается
24.03.2010 21:15:26
Сегодня главный фтизиатр Тюменской области Геннадий Козлов рассказал журналистам о положении дел c профилактикой и лечением туберкулезом в нашем регионе.   Основная часть заболевших в прошлом году – это лица, заразившиеся в местах заключения. Для борьбы с этим недугом в системе исполнения наказаний создано специальное учреждение, где больные проходят лечение отдельно от других заключенных. К тому же осужденные, как основная группа риска, проходят флюорографическое исследовани...
Госдума приняла сегодня закон "Об обращении лекарственных средств"
24.03.2010 20:16:15
Госдума приняла сегодня закон "Об обращении лекарственных средств", призванный принципиально изменить всю систему регистрации и распространения лекарств в России.  Проект документа был разработан правительством, по ходу обсуждения в нижней палате парламента в него были внесены многие существенные изменения. Закон, который, по словам спикера Госдумы Бориса Грызлова "произведет революцию в вопросах обращения лекарственных средств", призван прийти на смену действующему ...
В России отмечаются положительные тенденции в борьбе с туберкулезом
24.03.2010 20:03:57
В России достигнут прогресс в борьбе с туберкулезом /ТБ/. Так, в 2009 году удалось снизить показатель заболеваемости ТБ на 2,9 проц., а смертность - почти на 8 проц. «Это более двух тысяч сохраненных жизней», - подчеркнула начальник отдела Департамента организации медпомощи и развития здравоохранения Минздравсоцразвития России Людмила Михайлова на прошедшей сегодня пресс-конференции.  По её словам, правительство России и Минздравсоцразвития «всерьез занялись» проблемой тубе...
Преимущества метода Илизарова в лечении тяжелых форм болезни Шарко-Мари доказали зауральские ортопеды
24.03.2010 19:45:13
Зауральские ортопеды отстояли преимущества метода Илизарова на американской земле. На ежегодной встрече американской Академии хирургов-ортопедов, проходившей в марте в Новом Орлеане, российскую сторону представлял заведующий отделением патологии стопы Российского научного центра "Восстановительная травматология и ортопедия" им. ак. Илизарова /РНЦ "ВТО"/ Геннадий Иванов.  Как рассказали сегодня в Центре им. Илизарова, на суд 17-ти тысячной аудитории практикующих хирурго...
Сезон заболеваний клещевым энцефалитом близок
24.03.2010 17:22:31
Приближается весна, а вместе с ней и сезон клещевого вирусного энцефалита. Самое время задуматься о том, как предотвратить возникновение этого страшного заболевания, защитить себя и своих близких. Как сообщает управление Роспотребнадзора, Тюменская область является одним из самых напряженных очагов по заболеваемости клещевым энцефалитом. Всё население Тюменской области является потенциальной группой риска по заболеванию. За последние 10 лет кроме лесных очагов, сформировались сто...
Подведены итоги конкурса "Весна улыбается"
24.03.2010 16:36:47
В Упоровском муниципальном районе подведены итоги творческого конкурса замещающих семей «Весна улыбается». 22 марта 2010 года конкурсная комиссия, в состав которой вошли специалисты Комплексного центра социального обслуживания населения, определила три семьи, занявшие призовые места:  I место – семья Николая Александровича и Любови Григорьевны Бердюгиных из с. Нижний-Манай; II место – семья Сергея Ивановича и Светланы Витальевны Пушковых из с. Бызово; III место &n...
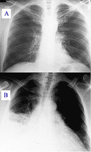
24 марта - Всемирный день борьбы с туберкулезом
24.03.2010 12:41:56
Уже не первый год этот день становится началом старта целого комплекса событий и мероприятий, направленных на то, чтобы каждый житель города смог получить больше знаний по профилактике туберкулеза, напомнить тюменцам о необходимости ежегодного прохождения флюорографических осмотров. С 24 марта по 23 апреля, все желающие, независимо от места проживания смогут бесплатно пройти флюорографическое обследование органов грудной клетки. Для этого с понедельника по  пятницу с 8-00 до 17-00 ча...
ВНИМАНИЕ! ИНФОРМАЦИЯ, ПРЕДСТАВЛЕННАЯ НА ДАННОМ САЙТЕ, ЯВЛЯЕТСЯ СПЕЦИАЛИЗИРОВАННОЙ И ПРЕДНАЗНАЧЕНА
ИСКЛЮЧИТЕЛЬНО ДЛЯ МЕДИЦИНСКИХ И ФАРМАЦЕВТИЧЕСКИХ РАБОТНИКОВ. НЕ ДОЛЖНА ИСПОЛЬЗОВАТЬСЯ ДЛЯ САМОСТОЯТЕЛЬНОЙ
ДИАГНОСТИКИ И ЛЕЧЕНИЯ. ИМЕЮТСЯ ПРОТИВОПОКАЗАНИЯ. НЕОБХОДИМА КОНСУЛЬТАЦИЯ СПЕЦИАЛИСТА